|

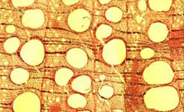
Sección transversal de la madera (xilema) mostrando los vasos y los
anillos de Quercus faginea. / J. Julio Camarero / IPE-CSIC |
Un trabajo internacional con participación del CSIC concluye que los
árboles más grandes y altos son más vulnerables a la sequía porque
forman conductos más anchos. Hasta ahora, esta mortalidad selectiva, que
se produce a nivel global, se asociaba a adaptaciones al clima.
En bosques de todo el mundo, los árboles más grandes y de mayor altura
están muriendo como consecuencia del cambio climático, pero hasta ahora
se desconocía por qué son más vulnerables a la sequía y las altas
temperaturas. Un equipo internacional con participación de
investigadores del Consejo Superior de Investigaciones Científicas
(CSIC) ha descubierto que una de las claves está relacionada con el
diámetro de los conductos que forman. Los detalles del trabajo aparecen
publicados en el último número de la revista PNAS.
Los árboles transportan agua y nutrientes desde las raíces hasta las
hojas a través de un complejo sistema de conductos, las cañerías del
árbol, en el que destacan los vasos del xilema. En el caso de las
plantas más grandes y de mayor altura, estos vasos tienen el diámetro
más ancho para mantener la eficiencia en el transporte del agua y los
nutrientes.
“Hemos descubierto que plantas más grandes producen vasos o conductos de
diámetro más ancho que permiten mantener la eficiencia en el transporte
de agua y nutrientes. Sin embargo, los conductos más anchos son más
vulnerables a la formación de embolias como consecuencia de la sequía y,
si son intensas, pueden secar hojas y ramas matando a todo el árbol”,
explica el investigador del CSIC Jesús Julio Camarero, del Instituto
Pirenaico de Ecología.
Hasta ahora, tanto el tamaño de los vasos como la mortalidad se
relacionaban principalmente con adaptaciones al clima. “Nuestra
investigación demuestra que este fenómeno es común a todas las regiones
y en todos los bosques puede haber mortalidad por la sequía en árboles
altos que formen vasos grandes”, sostiene el investigador del CSIC
Antonio Gazol, otro de los autores del trabajo.
Mortalidad “preocupante”
El estudio -liderado por el Instituto de Biología de la Universidad
Autónoma de México (Ciudad de México) y en el que han participado
científicos de 14 instituciones de Australia, Brasil, Chile, Ecuador,
España, Estados Unidos, Italia, México y Nueva Caledonia- se ha llevado
a cabo con 537 especies de árboles y arbustos de distintas zonas
climáticas. Los científicos del Instituto Pirenaico de Ecología del
CSIC, el único grupo español que ha participado, han aportado muestras y
datos de árboles y arbustos procedentes de zonas templadas (Bertiz, en
Navarra) y de alta montaña (Panticosa, en Huesca).
Según los investigadores, la mortalidad de los árboles más altos es
“especialmente preocupante” porque son ejemplares monumentales y
emblemáticos que acumulan y retienen mucha cantidad de carbono
procedente de la atmósfera. Por lo tanto, la pérdida de los árboles más
altos “afecta desproporcionadamente al funcionamiento de los bosques en
relación al cambio climático”.
Los hallazgos publicados en PNAS ofrecen una base necesaria para
predecir y prevenir daños a los bosques ante los climas cada vez más
cálidos y secos, que supondrán un nuevo reto para muchos árboles y
bosques.
Mark E. Olson, Diana Soriano, Julieta A. Rosell, Tommaso Anfodillo,
Michael J. Donoghue, Erika J. Edwards, Calixto León-Gómez, Todd Dawson,
J. Julio Camarero Martínez, Matiss Castorena, Alberto Echeverría, Carlos
I. Espinosa, Alex Fajardo, Antonio Gazol, Sandrine Isnard, Rivete S.
Lima, Carmen R. Marcati, and Rodrigo Méndez-Alonzo. Plant height and
hydraulic vulnerability to drought and cold. PNAS. DOI: 10.1073/pnas.1721728115
Fuente: CSIC 11/07/2018
www.cci-calidad.com |